👋 Hey! We Are JD Orthodontics
At our boutique practice, Dr. Junaid and our practice manager focus entirely on you—no assembly line here. From your very first consultation to every follow-up, you’ll experience one-on-one attention, state-of-the-art treatments, and genuine care designed to restore confidence and keep your smile shining. Book your visit today and discover dental care crafted just for you.
Experience personalized dental care in a warm, welcoming environment — where your comfort, confidence, and smile come first. Led by skilled hands and a commitment to excellence, we make every visit stress-free and focused on your long-term oral health.
From routine checkups to expert care — we’re here to keep your smile healthy and pain-free.
Our Testimonial

Keep your smile healthy with our comprehensive dental checkups, including thorough examinations, cleanings, and preventive care to maintain optimal oral health.

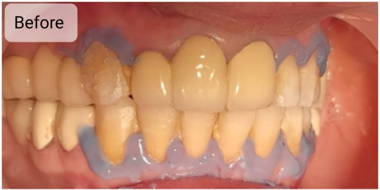
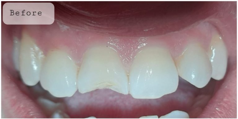
Restore your teeth with advanced treatments like tooth-colored fillings, root canal therapy, and custom restorations to bring back function and aesthetics.

Enhance gum health and aesthetics with services like scaling, polishing, teeth whitening, and specialized gum treatments for a confident smile.

Expert surgical solutions, including extractions, impacted teeth removal, and minor oral procedures, performed with precision and care.

Transform your smile with crowns, bridges, dentures, and dental implants, crafted to restore appearance and functionality with natural-looking results.

Achieve a perfectly aligned smile with options like metal braces, ceramic braces, invisible aligners, and specialized orthodontic treatments.
Our clinic is dedicated to delivering exceptional dental care with advanced technology and a skilled team, ensuring precision, comfort, and personalized service in a state-of-the-art environment.
At JD Orthodontics, we specialize in gentle, affordable dental care for the whole family. Whether you need a routine cleaning, cosmetic work, or emergency care — our expert team is ready to help you smile with confidence.
Appointments fill quickly — book now and take the first step to a healthier smile.
At JD Orthodontics, we’re dedicated to giving you a confident smile through personalized dental care and advanced orthodontic treatments
Developed By Kashif Khan
Copyright © 2025. All rights reserved